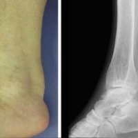
ACHILLES TENDON XANTHOMAS
Achilles tendon xanthomas are painless soft tissue masses occurring most commonly at the distal one-third of the tendon and are usually bilateral and symmetrical.
In plain radiograph, this condition appearas as soft tissue densities in the Achilles tendon.
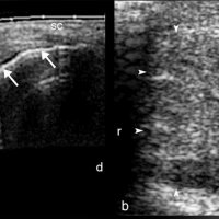
Ultrasound reveals increased AP thickness of the tendon >7 mm in males and >6 mm in females, also loss of normal tendon appearance with multiple hypoechoic foci within the tendon.
MRI shows focal thickening of the tendon with increased AP diameter, loss of the normal anterior concavity of the tendon with speckled appearance of the tendon, hyperintense on T1- and T2-weighted images.




