THE GEYSER SIGN IS A SUBCUTANEOUS PSEUDOTUMOR ABOVE THE ACROMIOCLAVICULAR JOINT
The geyser sign is a subcutaneous pseudotumor above the acromioclavicular joint, also known as AC joint cyst. The geyser sign is an infrequently encountered imaging sign that was originally described on conventional fluoroscopy-guided shoulder arthrography. The first case report of these cysts occuring in association with rotator cuff tears was made by Dr. Edward Craig in 1984, and again in 1986. The sign derives its name from its geyser-like appearance.
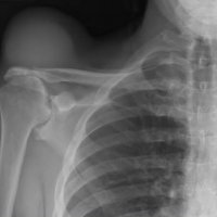
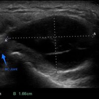
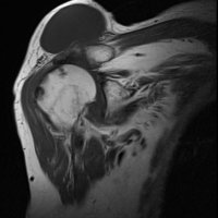
On physical examination, an AC joint cyst is a palpable fluid-filled mass. MRI scanning or a shoulder arthrogram should be obtained to evaluate the shoulder. Unenhanced MRI scans showing a large rotator cuff tear, a degenerated AC joint, and a large subcutaneous cyst adjacent to the AC joint is virtually patognomonic for the disease. Contrast administration on MR arthrogram will show the synovial fluid or intra-articular contrast extravasates from the glenohumeral joint into the subacromial bursa, into the AC joint, and then into an overlying cystic mass when a full-thickness rotator cuff tear is present, resembling a geyser spouting upwards.
Initial treatment is conservative and involves physical therapy along with aspiration. In patients with functional impairment or chronic shoulder pain who have failed conservative management, surgical treatment is recommended for both excision of the cyst and repair of the rotator cuff tear.








